menu toggle

January 27, 2026 - January 27, 2026

Hands-On Lab: Cranial Closing Wedge Osteotomy (CCWO) Wet Lab

CPD Solutions | Studley, England

Cranial Closing Wedge Osteotomy (CCWO) Course

Lecture and Wet Lab

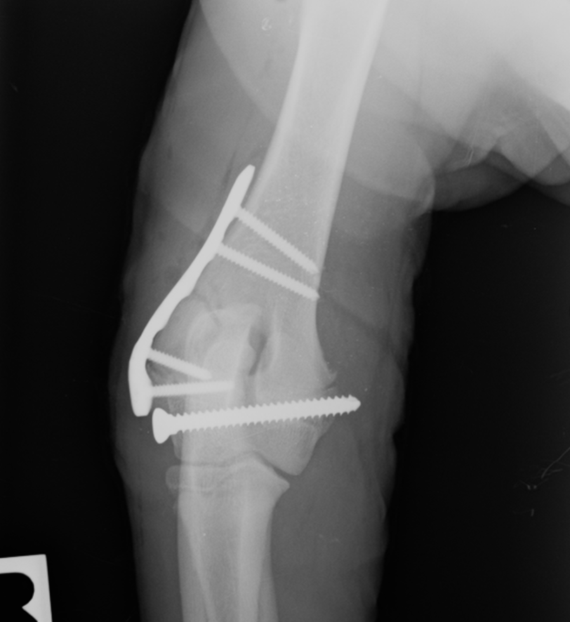
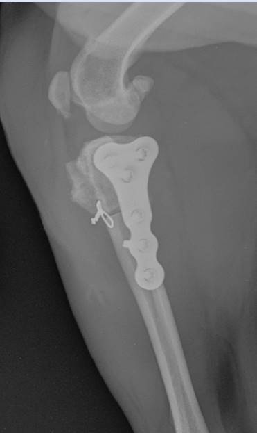
Cranial Closing Wedge Osteotomy (CCWO) is the universal surgery to manage canine cranial cruciate ligament disease. Suitable for dogs large and small, young and old it offers flexibility beyond any other tibial osteotomy technique. 

In the morning session we cover the key objectives before practicing the technique on saw bone and then in the wet lab for a hands-on practical. Learn patient assessment, pre-operative planning, implant selection, instrumentation, postoperative care, and complication handling. Gain hands-on experience through dry and wet lab sessions for confident surgical execution.

Course Objectives:

  • To understand the biomechanics of the cruciate ligament deficient stifle and cranial closing wedge osteotomy
  • To understand patient assessment and the selection of candidates for CCWO
  • To understand pre-operative surgical planning and implant selection
  • To develop familiarisation with and appropriate use of instrumentation
  • To understand the post-operative management of patients
  • To identify potential complications and how to avoid/deal with them
  • To learn and practice the surgical technique taught in a dry lab and wet lab

£1000 registration fee

Course includes

• 10:2 Student/Teacher Ratio
• Access to post course online video
• Hands on Dry and Wet Lab
• Bone model and £200 of implants
• 8 hours CPD
• Lunch and snacks provided
• 1 night's free accommodation when 2 consecutive days booked
Duncan Midgley portrait

Lead Instructor

Duncan midgley, bvms, certsao, mrcvs

Duncan graduated from Glasgow in 1991 and achieved his certificate in small animal orthopedics in 1996. He became a Royal College of Veterinary Surgeons recognized Advanced Veterinary Practitioner in Small Animal Orthopedics in 2014. He is a clinical director at Rutland House Referrals, St Helens where he has practiced orthopedics for over 20 years. He is a consultant for Securos Surgical and has taught courses to postgraduate vets on their behalf for a number of years. He has presented at BSAVA, VetFest, the London Vet show and World Veterinary Orthopedic Congress on their behalf. He is...

Experienced surgeons and teachers

Instructors

Duncan Midgley, BVMS, CERTSAO, MRCVS
Kinley Smith, MA, VETMB, PhD, CERTSAS, DIPECVS, MRCVS

27th January 2026

Location

CPD Solutions

Unit 11 Renshaw Industrial Estate

Green Lane

Studley

B80 7EY

Hands-On Lab: Principles of Locking Plates Live Lecture and Dry Lab

9/21/2025 9:00:00 AM - 9/21/2025 1:30:00 PM
Fiskdale, MA

Securos_2_3 Card-01