menu toggle

September 2, 2026 - September 2, 2026

Hands-On Lab: Cranial Closing Wedge Osteotomy (CCWO) Wet Lab

Central CPD Skills Lab | London, England

Cranial Closing Wedge Osteotomy (CCWO) Course

Lecture and Wet Lab

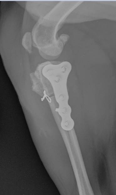
Cranial Closing Wedge Osteotomy (CCWO) is the universal surgery to manage canine cranial cruciate ligament disease. Suitable for dogs large and small, young and old it offers flexibility beyond any other tibial osteotomy technique. 

In the morning session we cover the key objectives before practicing the technique on saw bone and then in the wet lab for a hands-on practical. Learn patient assessment, pre-operative planning, implant selection, instrumentation, postoperative care, and complication handling. Gain hands-on experience through dry and wet lab sessions for confident surgical execution.

Course Objectives:

  • To understand the biomechanics of the cruciate ligament deficient stifle and cranial closing wedge osteotomy
  • To understand patient assessment and the selection of candidates for CCWO
  • To understand pre-operative surgical planning and implant selection
  • To develop familiarisation with and appropriate use of instrumentation
  • To understand the post-operative management of patients
  • To identify potential complications and how to avoid/deal with them
  • To learn and practice the surgical technique taught in a dry lab and wet lab

£1000 registration fee

 

Course includes

 

• 10:2 Student/Teacher Ratio
• Access to post course online video
• Hands on Dry and Wet Lab
• Bone model and £200 of implants
• 8 hours CPD
• Lunch and snacks provided
• 1 night's free accommodation when 2 consecutive days booked

People standing watching an instructor teach in a training room

Instructors

Duncan Midgley, BVMS, CERTSAO, MRCVS

Kinley Smith, MA, VETMB, PhD, CERTSAS, DIPECVS, MRCVS

2nd September 2026

Location

Central CPD Skills Lab

London, SE17 3BN

[No text in field]

Hands-On Lab: Principles of Locking Plates Live Lecture and Dry Lab

9/21/2025 9:00:00 AM - 9/21/2025 1:30:00 PM
Fiskdale, MA

Securos_2_3 Card-01