menu toggle

April 22, 2023 - April 22, 2023

Hands-On Lab: Tibial Plateau-Leveling Osteotomy (TPLO) Wet Lab

Hilton Boston Logan Airport | Boston, MA

Hands-On Wet Lab CE CPD TPLO TTA Lateral Suture

About the course

Tibial Plateau-Leveling Osteotomy

Hands-On Wet Lab CE CPD TPLO TTA Lateral Suture

Tibial plateau-leveling osteotomies have become popular techniques for the treatment of canine cranial cruciate ligament disease. This course is designed for the veterinarian who wishes to learn/refine the tibial plateau-leveling osteotomy technique and to understand the major advantages of PAX Polyaxial Locking TPLO Plate System.

Hands-On Wet Lab CE CPD TPLO TTA Lateral Suture

What to expect

Online lecture and wet lab

Part One of this course is a pre-recorded online lecture that includes a comprehensive discussion aetiopathogenesis, clinical examination, radiographic considerations, TPLO biomechanics, patient selection, complications related to TPLO surgery, pre-surgical planning, instrumentation, surgical technique, and peri/post-operative management.

Part Two of this course is a hands-on workshop. Participants will perform the TPLO technique on a bone model and two canine cadavers under faculty supervision. This lab is only for veterinarians who already have a thorough knowledge of the relevant stifle anatomy, extensive stifle surgery experience, and prior training in bone plating techniques and principles.

Online lecture details

The online lecture will be available for 30 days before the hands-on wet lab. The online lecture includes the following modules:

Tibial Plateau-Leveling Osteotomy Series

Part 1: Aetiopathogenesis, Clinical Examination, and X-Ray
Part 2: Biomechanics, Patient Selection, and Planning
Part 3: Instrumentation and Surgical Technique
Part 4: Bone Model Demonstration and Complex Cases
Part 5: PAX Locking System, Peri/Post Operative Management and Complications

Agenda

Complimentary breakfast, lunch, and a beer and wine 'Wrap Up Seminar' with each course.

April 2023 Boston TPLO Conference Agenda
Boston Pier Night Image

Location and hotel information

Hilton Boston Logan Airport

1 Hotel Drive
Boston, MA 02128

A group room rate of $265.00 per night (plus taxes) is available to attendees and family. The room block is limited, rooms will be available on a first-come first-served basis. Book your hotel when registering or email us at university@securos.com.

Hands-On Wet Lab CE TPLO TTA Lateral Suture Workshop

Learning with Securos

Experience the difference

Pre-Lab
• Complete five (5) 1-hour online lecture modules
• Complete pre-lab survey
• Earn a free box of suture

During Lab
• Complete take-home bone model
• Pre-surgical planning with cadaver radiographs
• Hands-on cadaver work with two knees per attendee • Post-op radiograph critique of each cadaver

Post Lab
• Procedural support from experienced surgeons
• Submit cases for pre-op planning support
• Submit cases for post-op review
• Online lecture available for review
Hilton Boston Loagan Airport

Course Includes

$1,450 Registration Fee

• 8:1 Student/Teacher Ratio
• On-Demand Online Lecture
• 8-Hour Hands-On Cadaver Lab
• 13.5 CE Credits*
• Breakfast & Lunch Provided

Hilton Boston Logan Airport
1 Hotel Dr.
Boston, MA 02128

A group room rate of $265.00 per night (plus taxes) is available to attendees and family. The room block is limited, rooms will be available on a first-come first-served basis. Book your hotel when registering or email us at university@securos.com.

Duncan Midgley portrait

Lead Instructor

Duncan Midgley, BVMS, CERTSAO, MRCVS

Duncan graduated from Glasgow in 1991 and achieved his certificate in small animal orthopedics in 1996. He became a Royal College of Veterinary Surgeons recognized Advanced Veterinary Practitioner in Small Animal Orthopedics in 2014. He is a clinical director at Rutland House Referrals, St Helens where he has practiced orthopedics for over 20 years. He is a consultant for Securos Surgical and has taught courses to postgraduate vets on their behalf for a number of years. He has presented at BSAVA, VetFest, the London Vet show and World Veterinary Orthopedic Congress on their behalf. He is...
Hands-On Wet Lab Lateral Suture TPLO TTA RACE CE Continuing Education

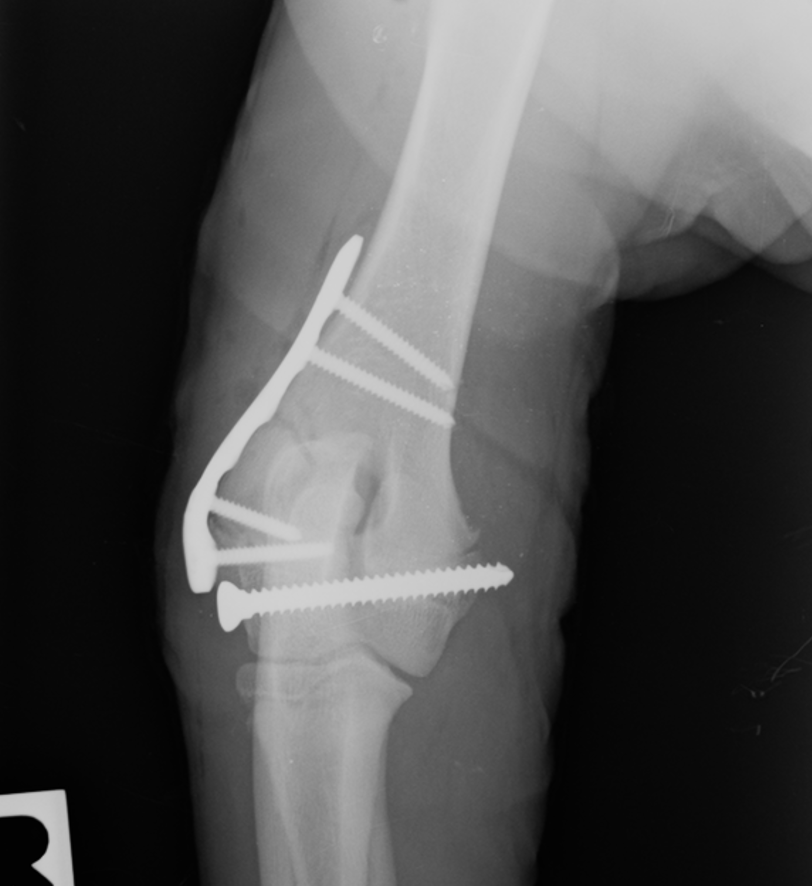
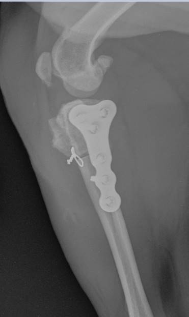
On-Site Radiographs

VetRay Technology by Sedecal

This course features two rounds of cadaver work, and each round includes allotted time for pre-op radiographic planning and the instructor’s evaluation of every cadaver’s post-op radiographs. VetRay Technology by Sedecal provides on-site x-ray equipment and support, performing over 150 views at each Securos University 2023 event. They are the world’s largest manufacturer of x-ray equipment and now offer the best selection in digital detector technology. VetRay Technology offers the Digital DX-V which provides HD images within seconds as well as detailed measuring, angle and adjustable circle tools software.
*This program has been approved for 13.5 hours of continuing education credit in jurisdictions that recognize RACE approval.

Hands-On Lab: Cranial Closing Wedge Osteotomy (CCWO) Wet Lab

1/27/2026 8:00:00 AM - 1/27/2026 6:00:00 PM
Studley, England

CCWO

Getting to Grips with the Elbow

2/17/2026 8:00:00 AM - 2/17/2026 6:00:00 PM
Studley, England

Hands-On Lab: Tibial Plateau Levelling Osteotomy Wet Lab

10/30/2025 9:00:00 AM - 10/31/2025 5:00:00 PM
London, England